El doctor Joan Gubau es un referente en restauración directa con composites en el sector anterior y en la formación de odontólogos que quieren mejorar sus resultados clínicos. En sus cursos y en su práctica clínica diaria insiste en una actitud que es decisiva: observar bien el diente natural para devolverle su forma, su volumen y su aspecto original con la máxima precisión.
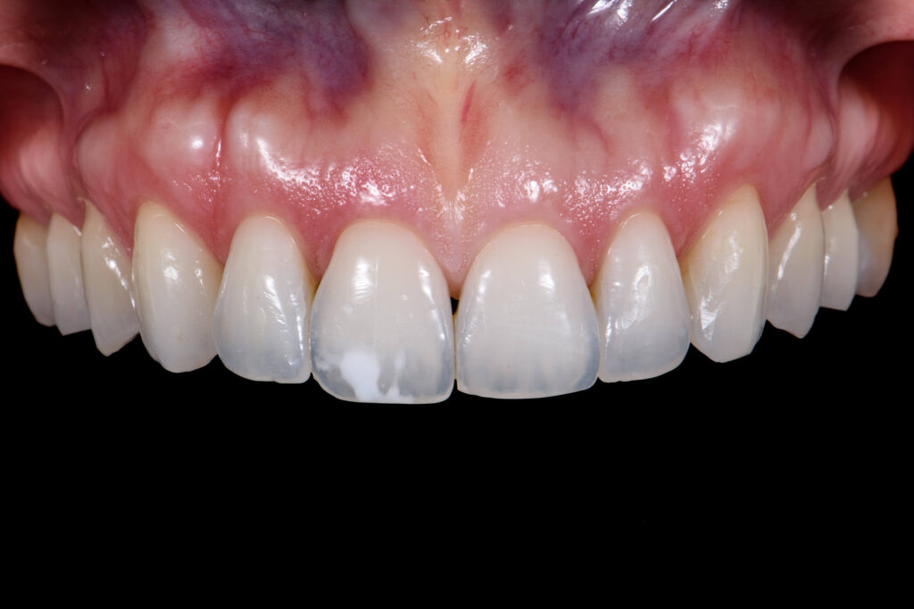
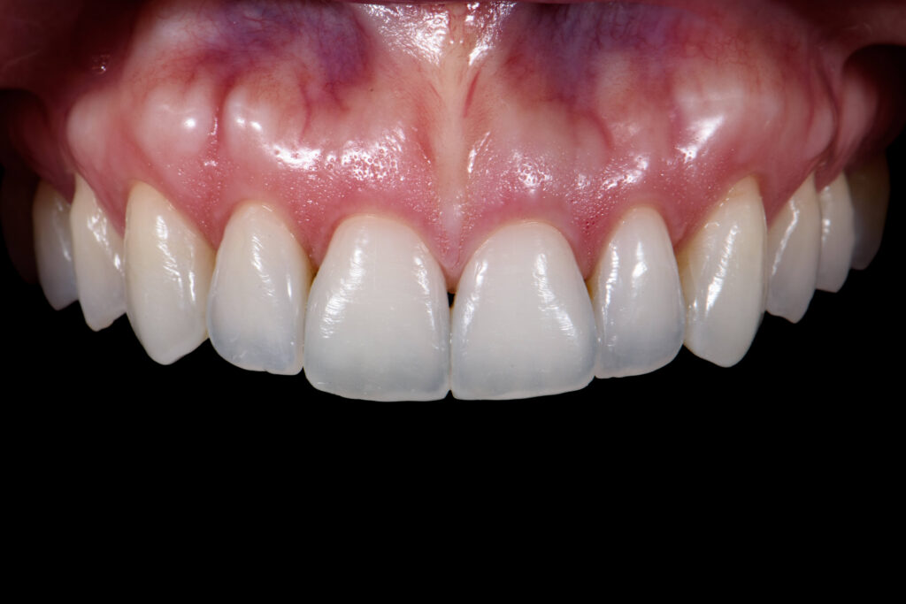
En tratamientos de dientes anteriores, cada detalle importa. Por eso, cuando aborda un caso utiliza matrices que le permitan controlar bien el contorno y el punto de contacto. Entre ellas, destaca las Unica Proximal Anterior de Polydentia, unas matrices que —como explica— están “muy bien pensadas” por su adaptación en el área cervical y la forma que proporcionan en la zona proximal.
En esta entrevista, hablamos con él sobre formación, técnica y los retos que encuentran hoy los odontólogos que quieren crecer profesionalmente en la restauración directa con composites en dientes anteriores.

Perspectiva clínica en odontología estética
Llevas casi dos décadas dedicado a la odontología estética y restauradora. Desde tu experiencia diaria, ¿qué ha cambiado más en la manera de abordar este tipo de tratamientos?
Muchas cosas han cambiado, pero algo que me encuentro a diario por mi especialidad es que hoy en día el paciente está muy concienciado en no tallar sus dientes cuando el objetivo es realizar un tratamiento estético. Hace 20 años quizás no era un requerimiento tan común de los pacientes al hacerse un tratamiento. Eso es bueno, hay que ser conservadores.
En tus formaciones, sueles hablar de «entender la naturaleza antes de intentar reproducirla». ¿Qué significa eso para ti cuando estás frente a un caso real?
Cuando empiezas un caso clínico, debes analizar la situación meticulosamente. Hay que entender la histoanatomía de los dientes naturales y fijarte en cada detalle que pretendemos emular. Si no es así, vamos a ciegas y conseguiremos resultados aleatorios, no predecibles.
Formación y mejora técnica en restauraciones anteriores
Has formado a profesionales de muchos países. ¿Qué inquietudes se repiten entre los dentistas que quieren mejorar en restauraciones directas en el sector anterior?
Hay mucha variedad de perfiles en mis cursos, desde el más experimentado que trabaja habitualmente con composites hasta el que pretende iniciarse en la estratificación con composites porque se dedica a otra especialidad. Los más experimentados tienen inquietudes más enfocadas a perfeccionar su técnica y a descubrir nuevos tips que faciliten su práctica diaria. Los que se inician en la estratificación suelen querer entender bien las técnicas para poder solucionar situaciones más sencillas, al menos al principio.
En tus cursos trabajas con casos complejos de estratificación. ¿Cuál suele ser el punto de inflexión para que un alumno empiece a sentirse seguro con los composites?
Cuando entienden los diversos tipos de composites que tenemos disponibles. Entender el material que pretendemos utilizar para solucionar un caso estéticamente comprometido es esencial.
¿Qué errores clínicos con composites observas más a menudo en dentistas que empiezan?
No saber qué composite usar en cada momento para solucionar un problema estético.


Planificación y precisión en restauraciones del sector anterior
Hablas a menudo de la importancia de planificar bien cada caso. ¿Qué errores de planificación ves más a menudo en restauraciones anteriores?
No fijarse lo suficiente en los detalles o no estar familiarizado con los composites que pretendemos usar.
Estratificación, paso a paso
La estratificación es una técnica exigente: color, volumen, luz, textura… ¿Cuál es el secreto para que todo encaje y el resultado sea natural?
Entender que es una secuencia en la que tenemos varios pasos y que cada paso es importante para obtener el resultado final deseado.
¿Por qué suele costar tanto conseguir un buen ajuste de color en el sector anterior?
Porque requiere un análisis meticuloso de la situación. Se debe entender bien cada detalle a emular para hacerlo predecible.
La importancia de practicar
¿Podrías compartir algún consejo práctico que siempre repitas en tus formaciones?
Hay que practicar mucho.


Materiales en restauración anterior
Has trabajado con distintos sistemas de matrices. ¿Qué diferencias notas al usar las de Polydentia, especialmente en la precisión del contorno y el punto de contacto?
Me gustan mucho las Unica Proximal Anterior de Polydentia. Están muy bien pensadas. Me gusta mucho la adaptación en el área cervical y el contorno proximal que proporcionan.
Más allá de las marcas, ¿en qué te fijas al elegir el material o instrumento para un tratamiento restaurador?
Que te faciliten el trabajo. Se puede hacer el trabajo con muchos materiales distintos, pero si te facilitan el procedimiento, marca la diferencia.
Vocación por la formación a odontólogos
¿Qué te motiva a seguir formando a otros profesionales después de tantos años de práctica clínica?
Disfruto haciendo mi trabajo y disfruto enseñando lo que hago a los alumnos. Si eso les ayuda en su práctica diaria, es muy gratificante.
¿Qué te enseñan a ti los alumnos en cada curso?
Me veo reflejado en ellos. Para conseguir los resultados estéticos deseados estratificando con composites, debemos aprender de los errores y mejorar progresivamente. Yo fallaba en las mismas cosas. Solo se trata de entender el procedimiento y practicar.
Odontología restauradora y estética: una mirada al futuro
Si tuvieras que dar un consejo a un dentista joven que empieza en odontología estética y restauradora, ¿cuál sería?
Que tenga paciencia, es un largo camino. Y, por supuesto, no parar de formarse.
Composites para retos estéticos
Y si un profesional solo pudiera quedarse con una idea de tu curso, ¿cuál te gustaría que fuera?
Entender cómo solucionar con composites situaciones estéticamente comprometidas en el sector anterior.
FOTOS: Foto cedida por el Dr. Joan Gubau / TEXTO: Manel Torrejón (marketing digital Katia Dental)




